Çene Eklemi Tedavimiz: Stabilizasyon Splinti (Gece Plağı?) Diş Sıkma
Çene eklemi ağrıları, yaşam kalitesini düşüren önemli bir ortodontik sorundur.
Çene eklemi ağrıları ve diş sıkma (bruksizm), günlük yaşamınızı olumsuz etkileyen önemli sorunlardır. Pek çok hasta, gece plağı kullanmasına rağmen şikayetlerinde iyileşme göremeyebilir. Bu durumda stabilizasyon splinti, çene eklemi tedavisinde kalıcı ve etkili bir çözüm sunar.
Dentmax Ağız ve Diş Sağlığı Polikliniği olarak, İstanbul Bakırköy’de Y. Doç. Dr. Fatih Kahraman liderliğinde kişiye özel stabilizasyon splinti tedavisi uyguluyoruz.
Çene Eklem Rahatsızlıklarının Belirtileri Nelerdir?
Çene eklemi rahatsızlıklarının en sık görülen belirtileri:
- Çene ekleminde ağrı ve hassasiyet,
- Ağız açma ve kapama sırasında ses gelmesi,
- Sabahları çene kaslarında gerginlik ve yorgunluk,
- Baş, boyun ve kulak ağrıları,
- Ağız hareketlerinde kısıtlanma veya kilitlenme.
İstanbul, Bakırköy’deki Dentmax kliniğimizde, çene eklemi belirtilerinizi hafifletmek için uzman çözümler sunuyoruz.
Ortodonti Uzmanı
15+ Yıl Ortodonti Uzmanı
Gece Plağı Neden Yeterli Olmaz?
Çene eklemi ağrıları ve diş sıkma gibi rahatsızlıklarda yaygın olarak kullanılan gece plakları, kısa vadeli rahatlama sağlasa da kalıcı bir çözüm değildir. Bunun temel nedeni gece plaklarının esnek yapısıdır. Başarılı bir tedavi için doğayı taklit etmek gerekir ve burada stabilizasyon splinti devreye girer.
Gece Plağı ve Esnek Yapının Sorunları
- Gece plağı yumuşak bir materyalden üretilir, bu nedenle çene reflekslerini tetikler.
- Esnek yapısı nedeniyle, hastalarda çiğneme refleksi devreye girer ve diş sıkma daha da şiddetlenir.
- Gece plağı takıldığında nispi bir rahatlama sağlar, ancak çıkarıldığında ağrılar yeniden başlar.
- Bu durum, çene ekleminin toparlanmasına fırsat tanımaz ve aşırı kas aktivitesi devam eder.
Uzmanlık Diplomaları







Stabilizasyon Splinti: Doğadan İlham Alan Etkili Çözüm
Stabilizasyon splinti, diş minesinin doğal sert yapısını taklit edecek şekilde sert malzemeden üretilir. Esnemez ve çene eklemine yük bindiren çiğneme refleksini tetiklemez.
Stabilizasyon splintinin faydaları:
- Yeni bir ısırma düzlemi oluşturur.
- Dengeli bir ısırma yüzeyi sağlayarak çene ekleminin yükünü hafifletir.
- Eklem bölgesinin kendini toparlamasına izin verir.
- Aşırı kas aktivitesini normale döndürerek çene kaslarında yumuşamayı başlatır.
- Çene eklemi sağlığı yeniden kazanılır ve ağrılar kalıcı olarak azalır.
Neden Gece Plağı Yerine Stabilizasyon Splinti Tercih Edilmeli?
| Gece Plağı | Stabilizasyon Splinti |
|---|---|
| Yumuşaktır, esnek yapıdadır. | Sert yapıdadır, esnemez. |
| Çiğneme refleksini tetikler. | Çiğneme refleksini tetiklemez. |
| Geçici rahatlama sağlar. | Kalıcı bir ısırma düzlemi oluşturur. |
| Kullanım sonrası ağrı tekrarlanır. | Çene kaslarını ve eklemi dengeye getirir. |
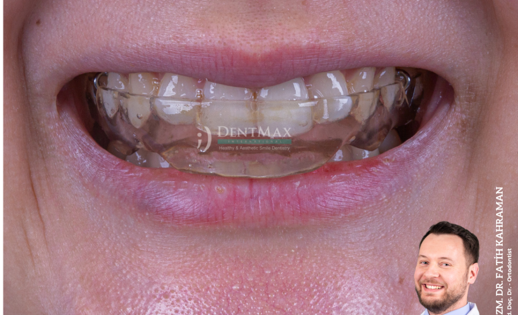
Stabilizasyon Splinti Nedir?
Stabilizasyon splinti, çene kaslarını rahatlatmak ve eklem üzerindeki baskıyı azaltmak için kullanılan 24 saat takılan özel bir kas deprogramming apareyidir.
Bu aparey sayesinde:
- Çene kasları gevşetilir,
- Çene eklemi doğru pozisyona getirilir,
- Diş sıkma (bruksizm) alışkanlığı kontrol altına alınır,
- Eklemin yükü hafifletilerek ağrı azaltılır.
Çene Eklemi Ağrısı ve Nedenleri
Çene eklemi ağrıları, diş sıkma ve gıcırdatma gibi alışkanlıklar ya da çene kapanış problemlerinden kaynaklanır. Fatih Kahraman’ın yönettiği kliniğimizde, ağrının nedenini detaylı bir muayene ve dijital görüntüleme teknikleriyle belirliyoruz.
Çene Ekleminden Ses Gelmesi: Ne Anlama Gelir?
Çene ekleminden gelen tıklama veya çıtlama sesi, eklem diskindeki kayma veya baskı sonucu oluşur. İstanbul’da Dentmax Diş Polikliniği olarak, stabilizasyon splinti tedavisi ile bu sorunun ilerlemesini durduruyoruz. Stabilizasyon splintleri sesi azartma için kullanılmaz fakat ağrıyı durdururlar.
Çene Kaslarının Gerginliği ve Baş Ağrısı İlişkisi
Diş sıkma alışkanlığı, çene kaslarında gerginlik oluşturarak baş ağrısını tetikler. Fatih Kahraman ve ekibi olarak, kişiye özel gece plakları ile hem çene kaslarınızı rahatlatıyor hem de baş ağrısını azaltıyoruz.
Çene Eklem Tedavisi Hangi Durumlarda Gereklidir?
- Çene ekleminden ses gelmesi,
- Diş sıkma ve gıcırdatma (bruksizm),
- Baş, boyun ve çene ağrıları,
- Ağız hareketlerinde sınırlanma.
Bu belirtiler, çene eklemi tedavisinin gerekli olduğunu gösterir. Dentmax kliniğinde, deneyimli ortodonti uzmanı Y. Doç. Dr. Fatih Kahraman size en uygun tedaviyi planlar.
Bruksizm ve Diş Sıkma Alışkanlığı
Düzensiz / dengesiz ısırma – kapanışta:
- Diş temas noktaları düzensiz olur, bu da çiğneme sırasında dişlerin uygun konumda çalışmasını engeller.
- Kaslar ve çene eklemi, dengeyi sağlamak için fazla çalışır, bu da aşırı gerilime ve yorgunluğa yol açar.
- Vücut, dengesizliği gidermeye çalışırken bilinçsizce diş sıkma veya gıcırdatmaya (bruksizm) yönelir.
Bu nedenle bruksizm, sadece stres veya alışkanlık kaynaklı değil, kapanış bozukluklarından da kaynaklanabilir.
Splint Tedavisi Nedir ve Nasıl Uygulanır?
- 4-6 ay boyunca 7 gün 24 saat kullanılır.
- Hasta, yemek yerken bile stabilizasyon splintini çıkarmadan kullanır.
- Splint ile çene kaslarının hafızası sıfırlanır ve çene eklemi doğru pozisyona getirilir.
Bu süreçte düzenli kontrollerle, splintin çene yapısına uyumu ve tedavinin ilerleyişi takip edilir.
Tedaviyi Kalıcı Hale Getirmek İçin Ortodontik Destek
Stabilizasyon splinti tedavisinin ardından, yeni oluşturulan çiğneme düzleminin kalıcı hale gelmesi için mutlaka şu tedaviler uygulanır:
- Ortodontik diş teli tedavisi
- Şeffaf plak tedavisi (Invisalign)
Bu ortodontik tedaviler, dişlerin ideal kapanışa ulaşmasını sağlayarak stabilizasyon sürecini tamamlar ve çene ekleminin uzun vadeli sağlığını korur.
Kısa Sürede Düzgün Dişlere Sahip Olabilirsiniz – Ertelemeyin, Şimdi Randevu Alın!

Randevu Oluştur

Detaylı İlk Muayene

Özgürce Gülümese!
Online simple step for appointment
Gece Plağı Yetersiz Kalıyor: Çözüm Stabilizasyon Splinti
Diş sıkma ve gıcırdatma (bruksizm) tedavisinde sıklıkla kullanılan gece plakları, sadece dişlerin yüzeyini korur ve geçici bir rahatlama sağlar. Ancak çene eklemi rahatsızlıklarının temelinde yatan kas gerilimi ve instabil oklüzyon (kapanış bozukluğu) gibi problemleri çözemez.
Bu nedenle çene eklemi ağrısı yaşayan hastalar için gece plağı yeterli bir tedavi değildir. İstanbul Bakırköy’deki Dentmax Diş Polikliniği olarak, Y. Doç. Dr. Fatih Kahraman liderliğinde stabilizasyon splinti tedavisi sunuyoruz.
Çene Eklemi Ağrısını Ertelemeyin!
Stabilizasyon splinti tedavisi hakkında detaylı bilgi almak ve çene ağrılarınızdan kurtulmak için bizimle iletişime geçin.
Dentmax’ta Neden Stabilizasyon Splinti Tedavisi?
- Uzmanlık: Y. Doç. Dr. Fatih Kahraman liderliğinde 15 yılı aşkın deneyim,
- Kişiye özel çözümler: Çene yapınıza uygun özel splint tasarımı,
- Modern yaklaşım: Ortodontik tedavi ve gerekirse cerrahi destek ile kalıcı çözümler,
- Konforlu tedavi süreci: İstanbul Bakırköy’de modern, donanımlı klinik hizmeti.
Fatih Kahraman ile Çene Eklem Tedavisinde Güvendesiniz
Y. Doç. Dr. Fatih Kahraman, 15 yılı aşkın tecrübesi ve uluslararası geçerliliğe sahip uzmanlığıyla İstanbul Bakırköy’de modern ve etkili ortodontik tedaviler uyguluyor.
Dentmax olarak:
- Kişiye özel çene eklemi tedavi planlaması,
- Modern teknolojilerle stabilizasyon splinti uygulaması,
- ISO 9001 ve 10002 kalite sertifikalı hizmet,
- Güvenilir ve konforlu tedavi süreci sunuyoruz.
Çene Eklemi ve Splint Tedavisi için Sık Sorulan Sorular
Splint, çene eklemi rahatsızlıklarının tedavisinde kullanılan bir dental aparattır. Çene ekleminin doğru pozisyona gelmesine yardımcı olur ve çene ağrısı gibi problemlerin kontrol altına alınmasında kullanılır.
Çene eklemi, alt çene ve kafatasını birleştiren eklemdir. Çene eklemindeki bozukluklar çene ağrısı, çene hareketlerinde kısıtlanma, baş ağrısı ve boyun ağrısı gibi sorunlara yol açabilir.
Çene eklemi tedavisinin süresi, problemin ciddiyetine ve tedaviye verilen cevaba bağlı olarak değişir. Genellikle 4-6 ay arasında sürebilir.
Stabilizasyon splinti, çene ekleminin ve dişlerin ve çenenin doğru pozisyonda tutulmasına yardımcı olan bir tür eklem splintidir. Çene hareketlerini stabilize eder ve çene ağrısını azaltmaya yardımcı olur.
Çene ekleminin ve dişlerin sağlığını korumak için düzenli diş hekimi kontrolleri, uygun ağız hijyeni ve gerektiğinde bir ortodonti kliniği tarafından önerilen tedavilerin uygulanması önemlidir.
Çene eklemindeki ağrı tedavisi için splintler, fizik tedavi, ilaçlar ve bazı durumlarda cerrahi müdahale gibi çeşitli yöntemler kullanılabilir. Tedavi planı, eklem öncelikli ortodonti uzmanı tarafından kişinin özel ihtiyaçlarına göre belirlenir.
Çene eklemi rahatsızlıklarının belirtileri arasında çene ağrısı, çene hareketlerinde kısıtlanma, dişlerde aşınma, şiddetli baş ağrısı ve boyun ağrısı sayılabilir. Bu belirtiler, çene eklemindeki sorunların işareti olabilir.
Çene eklemi bozukluklarının dental tedavisi, detaylı bir değerlendirme ve teşhis süreci ile başlar. Ortodontist Dr. Fatih Kahraman kişiye özel bir tedavi planı oluşturur ve genellikle stabilizasyon splinti gibi aparatlar kullanılır. Splint tedavisi sonrasu ortodontik tedaviyi başlatır. 1.5 -2 ortodontik tedavi uygulanır.
Stabilizasyon Splinti Tedavisi Fiyatları
Stabilizasyon Splinti Tedavisi
Dentmax’ta Uzman Çözüm: Stabilizasyon Splinti ile Ağrılara Veda Edin
İstanbul Bakırköy’de Dentmax Ağız ve Diş Sağlığı Polikliniği, Y. Doç. Dr. Fatih Kahraman liderliğinde stabilizasyon splinti tedavisi ile çene eklemi rahatsızlıklarına kalıcı çözümler sunuyor:
- Çene eklemini stabil hale getiriyoruz,
- Kasların aşırı aktivitesini ortadan kaldırarak doğal dengeyi sağlıyoruz,
- Yeni ve kalıcı bir ısırma düzlemi oluşturuyoruz.
📞 Dentmax Ağız ve Diş Sağlığı Polikliniği – İstanbul Bakırköy
Çene Eklemi Ağrısını Ertelemeyin!
Stabilizasyon splinti tedavisi hakkında detaylı bilgi almak ve çene ağrılarınızdan kurtulmak için bizimle iletişime geçin.
📞 Dentmax Ağız ve Diş Sağlığı Polikliniği – İstanbul Bakırköy
ORTODONTİK TEDAVİLERİMİZ
Uzman Ortodontist
-
03 Invisalign Damak Genişletme (Invisalign Palatal Expander) – Şeffaf Plak ile Çene Darlığı Tedavisi
15+ Yıl Ortodonti Uzmanlık Tecrübesi
İletişim +902125700033
İlginizi Çekebilir
MARPE (Ameliyatsız Çene Genişletme) | İstanbul & Balıkesir Ortodonti – DentMax
Dişlerine işlem yaptırmak isteyen herkese şiddetle tavsiye ederim.
Temel işlemlerden en yeni ve karmaşık işlemlere kadar her şeyi harika fiyatlarla sunuyorlar.
İngiltere'den geldik ve maliyet tasarrufu oldukça önemli.
Bu kliniği şiddetle tavsiye ediyorum ve İstanbul'u tekrar ziyaret edersem kesinlikle geri döneceğim.
İşini severek yapan insanlarla karşılaşmak gerçekten büyük bir şans. Tedavi sürecimde gömülü dişimi diğer dişlere zarar vermeden, ona yer açarak sağlıklı bir şekilde çıkmasını sağladı. Bu benim için gerçekten inanılmaz bir deneyimdi.
Titiz ve özenli çalışmaları çok etkileyiciydi. Alanında uzman bir doktor olduğunu gönül rahatlığıyla söyleyebilirim ve herkese tavsiye ederim.
Başta Fatih Bey olmak üzere tüm ekibine emekleri ve ilgileri için çok teşekkür ediyorum.
Airflow işlemimi Merve Hanım ve Sıla Hanım gerçekleştirdi. İkisi de işlemi son derece profesyonel, sabırlı ve titiz bir şekilde yürüttü. Tüm süreç boyunca beni bilgilendirdiler, yönlendirdiler; işlem öncesinde ve sonrasında konforuma gösterdikleri özen beni ayrıca memnun etti.
İmplant işlemimi ise Ayşenur Hanım yaptı. Daha önce hiç diş çektirmemiştim, doğrusu içimde gizli bir endişe vardı. Ama yaşadıklarım beklentilerimin çok ötesine geçti. İşlem sırasında "dişim çekildi mi?" diye sorduğumda implantımın çoktan takılmış olduğunu öğrendim! Üstelik sonrasında en ufak bir ağrı ya da sızı bile hissetmedim. Röntgen filminde de implantın gayet başarılı bir şekilde yerleştirildiği görülüyordu. Ayşenur Hanım gerçekten eli çok çabuk ve hafif bir uzman; birlikte harika bir süreç tamamladık.
Klinikte çalışan herkes işini severek yapıyor, son derece sıcak ve güler yüzlü insanlar.
Ama mutlaka bahsetmem gereken biri var: Muazzez Hanım. Ailecek düzenli gittiğimiz bu klinikte iki çocuğumla birlikte pek çok ziyaret gerçekleştirdik. 2,5 yaşındaki büyük oğlum kliniğe girdiği anda Muazzez Teyze'sine koşup sarılıyor; bu tablo bile her şeyi anlatıyor aslında. Emeği ve hakkı gerçekten çok büyük.
Dentmax Kliniği'nin tüm ekibine bu kadar özverili, profesyonel ve içten oldukları için çok teşekkür ediyorum. Gönülden tavsiye ederim. 🙏⭐⭐⭐⭐⭐
Özellikle 2 sene boyunca her daim güler yüzlü ve her konuda yardımcı olan Gülnur Hanım ve diğer isimlerini hatırlayamadığım çalışanlara teşekkür ederim.
Ve tabi ki memnuniyet temelli yaklaşan tedavimi planlayan Fatih Bey’e ve E max laminelerimi titizlikle yapan Ayşenur Hanım’a teşekkür ederim.
Sonuca baktığımda “iyi ki” diyebiliyorum.Tüm herkesin emeklerine sağlık.
Ayrıca hijyen konusunda da çok iyiler.
Daha nolsun. Gönül rahatlığıyla tavsiye ediyorum.
Dişlerimle ilgili bugüne kadar pek çok operasyon geçirmiş biri olarak anestezi sürecine oldukça aşinayım. Genelde operasyon öncesi iğnenin acısını hafifletmek için sprey sıkılır, ardından iğne ile uyuşturma yapılır. Ancak bu klinikte Diş Hekimi İrem’in uyguladığı yöntem beni çok etkiledi. Spreyi doğrudan sıkmak yerine pamuğa sıkarak iğnenin yapılacağı bölgede bir süre bekletiyor ve diş etinin nazikçe uyuşmasını sağlıyor. Ardından iğneyi küçük ve kontrollü dokunuşlarla uygulayarak neredeyse hiç acı hissetmeden uyuşmayı tamamlıyor. Gerçekten iğne acısını hissetmedim diyebilirim.
Bu hassasiyet ve incelik, mesleki özenin yanı sıra güçlü bir empati duygusunu da gösteriyor. Kendimi hem güvende hem de değerli hissettim. Diş tedavisinden çekinen, özellikle iğne korkusu olan herkese gönül rahatlığıyla tavsiye ederim. Hem profesyonel hem de insani yaklaşımıyla çok başarılı bir klinik.
Kesinlikle tavsiye ediyorum.
Dişlerimin düzgünleşmesinin yanı sıra gülüşüm de belirgin şekilde genişledi ( çene genişletme süreci sayesinde 😊) ve bu durum özgüvenimi ciddi anlamda artırdı. Artık çok daha rahat gülümsüyor ve kendimi çok daha iyi hissediyorum.
Bu süreçte emeği geçen Fatih Kahraman hocama ve tüm ekibine gönülden teşekkür ederim. Invisalign düşünen herkese gönül rahatlığıyla tavsiye ederim.
İşlerini profesyonel yapan bu ekibe teşekkürlerimi iletiyorum
Fatih Bey, Ayşenur hanım ve klinikteki tüm ekip her zaman güler yüzlü, ilgili ve çözüm odaklıydı. Randevu düzeni, hijyen, kullanılan ekipmanlar ve genel klinik ortamı gerçekten çok özenliydi. Tedavi sürecinde hem estetik hem de fonksiyonel olarak beklentilerim fazlasıyla karşılandı. Uzun süren bir tedavi olmasına rağmen hiçbir aşamada tedirginlik yaşamadım.
Diş tedavisi düşünen, özellikle ortodonti, implant ya da lamine gibi kapsamlı işlemler yaptırmak isteyen herkese gönül rahatlığıyla tavsiye ederim. Ayşenur Hoca’ya, Fatih Bey’e ve emek veren tüm ekibe profesyonellikleri ve samimi yaklaşımları için çok teşekkür ederim
Ortodonti sürecimi titizlik ve özveriyle yürüten Fatih Bey, her aşamada bilgilendirici ve güven vericiydi. Gülüş tasarımı sürecimi yürütecek olan Ayşenur Hanım ise yaklaşımı ve detaylara verdiği önemle şimdiden güven verdi.
Her hastaya, “Bu işlem bana yapılsaydı nasıl isterdim?” hassasiyetiyle yaklaşıp, işi kendilerine yapıyormuş gibi özenle çalışmaları ayrıca çok kıymetliydi. Hem hekimlikleri hem de insani yaklaşımlarıyla işlerinin ehli olduklarını fazlasıyla hissettirdiler. Diş tedavisi konusunda güvenilir bir klinik arayan herkese gönül rahatlığıyla tavsiye ederim.
20’lik diş çekiminden bir hafta sonra dolgu tedavisi için tekrar gittiğimde, kliniğe çok daha özgüvenli bir şekilde gidebildim :) Ne çekim sonrasında ne de dolgu sonrasında hiçbir sorun yaşamadım. Kesinlikle gönül rahatlığıyla DenMax’ı tercih edebilirsiniz. :)
Hijyen, düzen, zaman yönetimi ve hasta iletişimi açısından örnek gösterilecek bir kurum. Sadece diş tedavisi değil, aynı zamanda güven, saygı ve insan odaklılık da sunuyorlar.
Emeği geçen ekibe teşekkür ederim. Gözünüz kapalı güvenebileceğiniz bir adres.
Sanırım hayatım boyunca diş sağlığımı emanet ededeğim yeri sonunda buldum.
Dr. Burcu Orhan ve asistanını gönülden ve tereddütsüz tavsiye ediyorum!
Daha sonra DentMax'te implant yaptırdım. Diş hekimi işlemi hızlı, güvenli ve büyük bir uzmanlıkla gerçekleştirdi, bu yüzden kendimi mükemmel ellerde hissettim.
Genel olarak, DentMax'i şiddetle tavsiye ediyorum ve Mart ayında kron takılması ve dişlerimin beyazlatılması için tekrar geleceğim.
Harika bakım için çok teşekkür ederim!
Özellikle Fatih bey işinin ehli
Profesyonel hizmet ve güleryüz.
Konusunda başarılı arkadaşlar
Dolgu diştaşı temizliği ve diğer herşeyim için artık hep burdayım.
Teşekkürler.
Sizleri Amerikadaki Şuhedanur Hanım’ın tavsiyesiyle tanıdım. İki implantım ve bir tane 20’lik dişim çekildi. Eşim ve iki oğlumun da şeffaf plak tedavileri burada yapıldı.
Dr. Fatih Bey, Dr. Ayşenur Hanım ve tüm asistanlardan çok memnunuz. Her biri güler yüzlü, samimi ve işini severek yapıyor. Tedavilerde güven hissediyorsunuz, ticari değil, tamamen hasta odaklı bir yaklaşımları var.
Klinik tertemiz, hijyene çok önem veriliyor ve o güzel akvaryumları ortama ayrı bir huzur katıyor 🐠💙
Klinğinizi gönül rahatlığıyla herkese tavsiye ederim 🌸
Hem profesyonel hem de çok nazik bir ekip. Dişçi korkumu burada tamamen yendim. Teşekkür ederim 🙏
Dentmax ailesiyle yaşamış olduğum diş problemi neticisinde tanıştım. 20’lik dişlerimin çıkması diş yapımın bozulmasına neden olmuştu. Dentmax aileysile birlikte ortodonti tedavi sürecim başladı.Fatih hocamız tedavi sürecim hakkında bilgilendirmesi ve bana en uygun tedavi yöntemini anlatması ve bilgilendirmesi beni çok mutlu etti.
Başlamış olduğumuz şeffaf plak tedavimde ilk haftalardan itibaren değişimi fark ederek ilerledim.
Bu süreçte plaklarımı aksatmadan kullandım.
Fatih hocamın tedavi hakkında uyarılarınca ilerledim.
Bu süreçte tüm Dentmax ekibi bizlere destek oldu.
Fatih Hocam başta olmak üzere tüm Dentmax ailesine teşekkür ediyorum.
Kesinlikle şeffaf plak tedavisini ve Dentmax ailesini tavsiye ediyor ve öneriyorum. 🌸
Herkese musmutlu gülüşler ☺️🥰
Bundan 2sene önce dış teli takdirmaya karar vermiştim
Alt cenemdede biraz sorun vardı
Sonra Fatih hocayı buldum.
İçimde korku vardı nasıl takdiracagim nasıl olur dişlerim nasıl olur çenem diye,sonra Fatih hocam kendisi yardımcı oldu.
Şuanda gayet iyi gidiyor herşey yolunda
Cenemde baya baya düzeldi dişlerimde tam istediğim gibi oluyor
iyki siz Fatih hocam sonsuz teşekkürlerimi bırakıyorum size 🙏🙏
Allah hep yolunuzu açık etsin inşallah 🙏🙏🙏
İletişim konusunda her şey çok netti, tüm randevularım düzenliydi ve asla aksama yaşanmadı. Klinik genel anlamda oldukça hijyenikti, içeri adım attığınız andan itibaren temizliği ve profesyonelliği hissediyorsunuz.
DentMax İstanbul’u ve özellikle İrem Hanım ile Sude Hanım’ı gönül rahatlığıyla herkese tavsiye ederim. Şimdiden daha özgüvenli bir şekilde gülümsememe vesile oldular, kendilerine teşekkür ediyorum. 🙏😊
Güler yüzlü personelleri, son teknoloji cihazlar kullanmaları ve hijyene her daim büyük önem vermeleri, içimi rahatlatan en önemli etkenlerden biri oldu. Tedavi sürecim boyunca doktor Beyza Hanım, her aşamada karşılaşılabilecek tüm olasılıkları detaylı bir şekilde anlatarak, aklımda hiçbir soru işareti kalmaması ve her adımda içimin rahat etmesi için büyük bir özen gösterdi. İşlem sonrası ağrı olma ihtimaline karşı, ertesi gün arayarak durumumu sormaları ise ne kadar düşünceli ve ilgili olduklarının güzel bir göstergesiydi.
Tüm tedavi sürecimi büyük bir titizlikle, profesyonelce yürüten ve her aşamada son derece düşünceli yaklaşımıyla içimi rahatlatan doktor Beyza Hanım’a gönülden teşekkür ederim. Ayrıca süreç boyunca nazik ve yardımsever tutumuyla her zaman destek olan asistan Sude Hanım’a da içtenlikle teşekkür ederim. Yapılan her işlemde özenli ve en iyi sonuca odaklanan bir anlayışla hareket edilmesi, kendimi emin ellerde hissetmemi sağladı.
Tedavi sürecim hala devam ediyor ancak şu ana kadar olan ilerlemeden son derece memnunum. DentMax’i gönül rahatlığıyla herkese tavsiye ederim.
Klinikte kullanılan ileri teknoloji cihazlar ve hijyen konusundaki hassasiyetleri hastalara ekstra bir güven veriyor. Ayrıca ekip içinde güçlü bir iletişim olması, her tedavi adımının dikkatle takip edilmesini sağlıyor. Bekleme süresince sunulan çay ve kahve ikramları da kliniğin hasta memnuniyetine verdiği önemin bir göstergesi.
Özetle, DentMax ekibine ve özellikle ilgisini hiçbir zaman eksik etmeyen Beyza Hanım'a teşekkür ederim. Diş tedavisi konusunda güvenilir bir yer arayan herkesin gönül rahatlığıyla tercih edebileceği bir klinik!
Tavsiye üzerine yeni yılın ilk günü randevu aldıgımız için, oldukça rahat ve konforlu bir gün oldu.
Teknolojiyi diş sağlığına her anlamda entegre etmiş bir klinik olarak emin ellerde olduğunuzdan emin oluyorsunuz.
Diş temizligi ve kontrollerime önem veren bir insan olarak, daha önce aldığım hizmetlerle karşılaştırdığımda DentMax gerçekten hekimleri ve ekibiyle fark yaratıyor.
Benim ve çocuklarımın ; kontrol, diş temizliği yapıldı. Gerekli olan ne varsa, en iyi şekilde uygulandı.
Dişlerimi bu kadar temiz, beyaz ve parlak ilk defa gördüm diyebilirim.
İrem Burcu Orhan Hoca'ya, aslstanlar Gülnür Hanım'a, Sude Hanım'a titizlikleri, güleyüzleri ve çocuklarım için gösterdikleri sabır için de ayrıca teşekkür ederim.
Hijyen konusunda da her türlü tedbir ve tedarik mevcut.
Güvenilir ve işinde bilgili bir yer arayan herkese tavsiye ederim.
Ancak İrem Hanım'ın el hafifliği, sakinliği ve profesyonelliği sayesinde tüm korkularımı bir kenara bırakabildim. Panik olmama rağmen ekip durumu harika yönetti ve benimle çok güzel ilgilendi. Dentmax ekibinin 3 boyutlu cihazlarla çalıştığını ve çürük derinliğini hassas bir şekilde tespit ettiğini gördüm. Özellikle kanal tedavisine gerek kalmadan farklı bir yöntemle dişimi kurtarmaya çalışmaları beni çok mutlu etti.
Şu an dişim çok iyi durumda, tedavimin 2 seansını tamamladık ve son derece memnunum. Kalan diş dolgularım da tabii ki İrem Hanım'a emanet. Dentmax ekibine ve özellikle İrem Hanım'a teşekkür ederim. Profesyonellik ve güven arayan herkese tavsiye ederim!
Önceki incelememe ek olarak, aynı zamanda diş hekimliği uzmanlarından oluşan bu muhteşem ekibin değerli bir üyesi olan Dr. Beyza tarafından da tedavi edildim.
Zorlu bir tedavim olduğunu söyleyen ve tedavi etmeye yanaşmayan doktorlardan sonra İnternet üzerinden araştırma yaparken denk geldim Fatih hocama.
İlk görüştüğümüz de hem çalışanların hem Fatih hocamın enerjisinin verdiği olumlu enerji ile şüphe bile duymadan bir süre sonra tedaviye başladık.
Uzun bir süreç ancak fatih hocam ve ekibi ile bu süreci yönlendiriyor olmaktan çok memnunum.
Ayrıca 4 yirmilik dişimi çeken ve hangi ara çektiğini bile anlayamayıp her seferinde bitti mi diye sorduğum güzel gözlü, güzel yürekli Ayşenur hocama da çok teşekkür ediyorum.
İşini hakkıyla ve titizlikle yapan insanlara ihtiyacımız var ve bu klinikte doğru adres...:)













