MARPE – Ameliyatsız Çene Genişletme | İstanbul & Balıkesir
İstanbul ve Balıkesir’de uygulanan MARPE (ameliyatsız çene genişletme) tedavisi, üst çene darlığına bağlı estetik ve fonksiyonel problemlerin cerrahiye gerek kalmadan çözülmesini sağlayan ileri bir ortodontik yöntemdir.
Tüm tasarım ve uygulama süreci Y. Doçent Dr. Fatih Kahraman / Ortodontist tarafından birebir yapılır.
Dijital ölçüm, CBCT (dental tomografi) analizi ve kişiye özel tasarım ile planlanan bu tedavi, özellikle yetişkin hastalarda güvenli ve etkili bir çözüm sunar. DentMax’te tüm süreç, Y. Doçent Dr. Fatih Kahraman / Ortodontist tarafından bireye özel olarak planlanır.
MARPE ile Ameliyatsız Üst Çene Genişletme
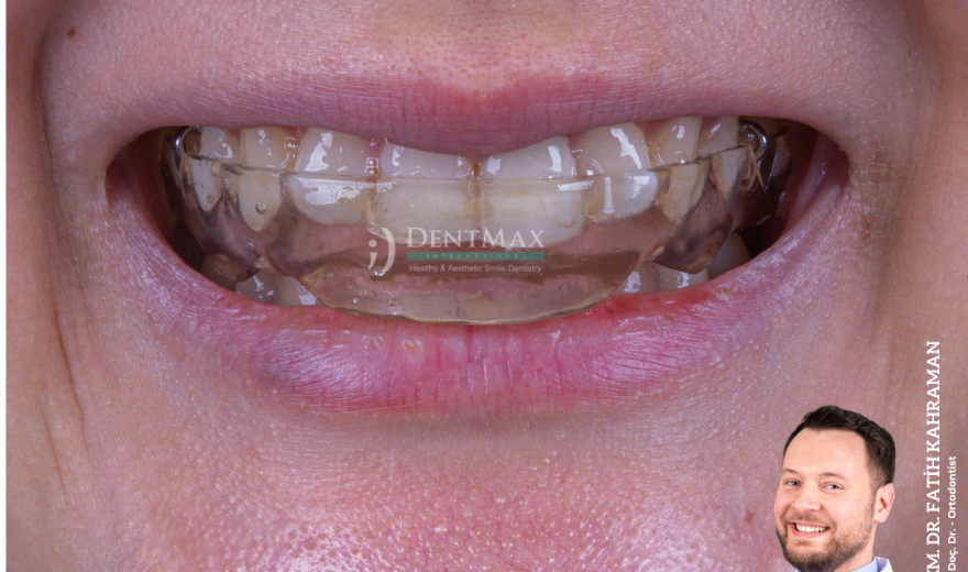
Bu vakamızda, 31 yaşındaki yetişkin hastada hem estetik hem fonksiyonel birçok ortodontik problem mevcuttu. Klinik değerlendirmede özellikle üst çene darlığı (damak darlığı), açık kapanış (open bite), diş çapraşıklığı ve gülüş estetiğinde yetersizlik dikkat çekiyordu. Hastada ayrıca yanak–diş arası siyah boşluklar ve çiğneme fonksiyonunda dengesizlik bulunmaktaydı.
Tedavi planı, cerrahiye gerek kalmadan çözüm sunacak şekilde oluşturuldu. İlk aşamada MARPE (ameliyatsız çene genişletme) uygulanarak üst çenede iskeletsel genişleme sağlandı. Bu süreçte 4 adet mini implant, yerleştirildi. Genişletme sonrası oluşan boşluklar, ortodontik tedavi ile kontrollü şekilde kapatıldı.
Tedavi sürecinin erken döneminde, yaklaşık 2 hafta içinde genişleme etkileri gözle görülür hale geldi. İlerleyen süreçte açık kapanış düzeltildi, ek vida uygulamaları ve diş telleriyle dişler ideal pozisyonuna getirildi ve gülüş estetiği yeniden şekillendirildi.
Sonuç olarak hastada:
• Daha geniş ve dengeli bir gülüş
• Fonksiyonel kapanış
• Daha etkin çiğneme sistemi
• Protez gerektirmeden doğal diş dizilimi
elde edildi.
Bu vaka, yetişkin hastalarda doğru planlama ile ameliyatsız çene genişletmenin mümkün olduğunu ve estetik ile fonksiyonun birlikte iyileştirilebileceğini göstermektedir.
Ortodonti Uzmanı
15+ Yıl Ortodonti Uzmanı
MARPE (Ameliyatsız Çene Genişletme) Nedir?
MARPE (Miniscrew Assisted Rapid Palatal Expansion), üst çene darlığını kemik seviyesinde genişleten ve özellikle erişkin hastalarda cerrahi ihtiyacını ortadan kaldırabilen ileri bir ortodontik tedavi yöntemidir. Mini implantlardan alınan destek sayesinde genişleme yalnızca dişlerde değil, doğrudan kemikte gerçekleşir.







Hangi Problemlerde MARPE Uygulanır?
- Erişkin bireylerde (16 yaş üstü) Damak darlığı (üst çene darlığı) ve buna bağlı solunum problemleri
- Çapraz kapanış
- Diş çapraşıklığı
- Yanak–diş arası siyah boşluklar
- Yetersiz gülüş genişliği
MARPE ile Damak Genişletmenin Hastaya Sağladığı Faydalar
Estetik faydalar
16 yaşından büyük hastalarda ameliyatla damak genişletmeye (SARME) gerek kalmaz. Daha geniş ve dengeli gülüş elde edilir
Bukkal koridorlar (diş – yanak arası siyah boşluklar) azalır
Çiğneme sistemi
Arka dişlerin aktif kullanımı artar
Daha dengeli kapanış sağlanır
Çiğneme verimliliği artar
Burun ve sinüs etkileri
Nazal hava yolu genişleyebilir
Burun tabanı desteklenir
Sinüs havalanması olumlu etkilenebilir
Uyku ve solunum
Hava yolu genişlemesine bağlı olarak bazı hastalarda horlama azalabilir
Uyku kalitesinde artış gözlenebilir
Y. Doçent Dr. Fatih Kahraman Taradından Tamamen Kişiye Özel MARPE Tasarımı
DentMax’te MARPE tedavisi tamamen kişiye özel planlanır.
Planlama sürecinde:
3D ağız içi tarama
CBCT (dental tomografi) ile kemik analizi
Sutur yapısının değerlendirilmesi
Kuvvet dağılım planlaması
Tüm tasarım süreci Y. Doçent Dr. Fatih Kahraman / Ortodontist tarafından birebir yapılır.
Planlama tamamlandıktan sonra aparey:
5 iş günü içinde tasarlanır ve üretilir
Kısa sürede hastaya uygulanabilir
MARPE tedavisinde Mini Vida (Mini İmplant) Yerleşimi
MARPE tedavisinde 4 veya 6 adet mini vida (mini implant) kullanılır.
Bu vidalar:
Kişinin kemik yapısına göre belirlenir
Doğru açılarla konumlandırılır
Tamamen kişiye özel planlanır
Bu sayede iskeletsel genişleme daha etkili ve stabil hale gelir.
Tedavi başarısı, hekimin tecrübesi ve planlama kalitesi ile doğrudan ilişkilidir.
MARPE vs SARME Karşılaştırması
| Kriter | MARPE (Ameliyatsız) | SARME (Cerrahi Destekli) |
|---|---|---|
| Cerrahi Gereksinim | Cerrahi yok | Cerrahi işlem gerektirir |
| İyileşme Süresi | Hızlı, günlük hayata hemen dönüş | Daha uzun, operasyon sonrası iyileşme gerekir |
| Konfor | Daha konforlu, minimal invaziv | Daha invaziv, ameliyat sonrası hassasiyet |
| Uygulama Süreci | Klinik ortamda kısa sürede uygulanır | Hastane ortamı ve cerrahi ekip gerekir |
| İlk Etki Süresi | 2 hafta içinde değişimler başlar | İyileşme sonrası etki görülür |
| Risk Profili | Düşük | Cerrahiye bağlı riskler mevcut |
| Maliyet | Genellikle daha ekonomiktir | Cerrahi nedeniyle daha maliyetlidir |
| Estetik Değişim | Doğal ve kontrollü genişleme | Daha hızlı ve güçlü genişleme |
| Başarı Alanı | Uygun vakalarda yüksek başarı | Daha ileri vakalarda daha garantili çözüm |
| Yaş Uygunluğu | 40 yaşa kadar uygun | Daha ileri yaşlarda da uygulanabilir |
| Hastanede Yatış | Gerekmez | Bazı durumlarda gerekebilir |
| Alternatif Rolü | İlk tercih edilen yöntem | MARPE başarısızsa güçlü alternatif |
Kısa Sürede Düzgün Dişlere Sahip Olabilirsiniz – Ertelemeyin, Şimdi Randevu Alın!

Randevu Oluştur

Detaylı İlk Muayene

Özgürce Gülümese!
Randevu oluştur
WhatsApp üzerinden fotoğraflarınızı göndererek MARPE için uygunluğunuzu öğrenebilirsiniz. İstanbul veya Balıkesir’de randevunuzu planlayabilirsiniz.
MARPE Tedavi Süreci Nasıl İlerler?
Detaylı muayene ve analiz
- Dijital ölçü ve tomografi değerlendirmesi
- Kişiye özel MARPE tasarımı
- 5 iş günü içinde üretim
- Apareyin uygulanması
- Kontrollü genişletme süreci
- Ortodontik tedavi (invisalign şeffaf plak veya diş teli ile tamamlanma)
MARPE ile Ne Kadar Sürede Etki Görülür?
Birçok hastada ilk değişimler 2 hafta içinde fark edilir.
Üst çene genişlemeye başlar
Ön dişler arasında geçici boşluk oluşabilir
Gülüş hattı değişmeye başlar
40 Yaşına Kadar Uygulanabilir mi?
MARPE tedavisi doğru vaka seçimi ile 40 yaşına kadar güvenle uygulanabilir.
Ancak kemik yapısına bağlı olarak tedavi yanıtı kişiden kişiye değişebilir.
MASPE Nedir?
MASPE, iskeletsel yavaş genişletme protokolüdür.
Daha düşük ve kontrollü kuvvetlerle
Kemik adaptasyonunu destekleyerek
Kademeli genişleme sağlar
Bazı erişkin vakalarda tercih edilir.
MARPE ile Her Hastada Sonuç Alınır mı?
Tıbbi olarak her hastada aynı sonucu garanti etmek mümkün değildir.
Bazı durumlarda kemik yapısı genişlemeye direnç gösterebilir ve istenilen açılma sağlanamayabilir.
Bu gibi durumlarda güvenli bir alternatif olarak
SARME (cerrahi destekli damak genişletme) tedavisi uygulanır.
DentMax’te bu süreç kontrollü ve güvenli şekilde yönetilmektedir.
İstanbul & Balıkesir’de MARPE Tedavisi
DentMax kliniklerinde
İstanbul (Ataköy)
Balıkesir
lokasyonlarında, ileri dijital ortodonti altyapısı ve kişiye özel planlama ile MARPE tedavileri başarıyla uygulanmaktadır.
MARPE ile Sonuçlar Kişiden Kişiye Değişir
Her bireyin kemik yapısı, yaşı ve biyolojik yanıtı farklıdır.
Bu nedenle tedavi sonuçları kişiye özel değişiklik gösterebilir.
DentMax ile Invisalign Tedavisi: Modern ve Güvenilir Ortodonti
İstanbul Bakırköy ve Balıkesir’deki DentMax Ağız ve Diş Sağlığı Polikliniği’nde, Invisalign tedavisini en ince detayına kadar planlayarak uyguluyoruz. Y. Doçent Dr. Fatih Kahraman’ın liderliğindeki uzman ekibimiz, tedavinizin her aşamasını titizlikle takip eder. Hem dişlerinizi düzeltirken estetik kaygılarınızı gideriyor, hem de tedavi sonrası dişlerinizin kalıcılığını sağlıyoruz.
Neden Invisalign Tedavisi için DentMax’i Tercih Etmelisiniz?
- Uzman Ekip: Akademik geçmişe sahip Y. Doçent Dr. Fatih Kahraman liderliğinde modern ve etkili çözümler sunuyoruz.
- Kalite ve Güven: ISO 9001 kalite sertifikası ve ödüllü bir klinik olarak hizmet veriyoruz.
- Konum Avantajı: İstanbul Bakırköy ve Balıkesir şubelerimizle size kolayca ulaşma imkanı sunuyoruz.
- Modern Teknoloji: Invisalign gibi yenilikçi tedavi yöntemlerini yakından takip ediyor ve uyguluyoruz.
- Hasta Memnuniyeti: Binlerce hastanın tercihi olmaktan mutluluk duyuyoruz.
DentMax ile görünmez bir ortodontik tedavi deneyimi yaşayın! Randevu ve bilgi için hemen bize ulaşın:
📞 0212 570 0033
📱 0544 375 4766 (WhatsApp)
Invisalign şeffaf plak tedavisiyle gülümsemenizi saklamayın, özgür bırakın!
ORTODONTİK TEDAVİLERİMİZ
Uzman Ortodontist
-
03 Invisalign Damak Genişletme (Invisalign Palatal Expander) – Şeffaf Plak ile Çene Darlığı Tedavisi
İletişim +902125700033
İlginizi Çekebilir
Çene Eklemi Ağrısı Tedavisi İstanbul Bakırköy | Eklem Stabilizasyon Splint ile Çözüm | Gece Plağı | Diş Sıkma
Dişlerine işlem yaptırmak isteyen herkese şiddetle tavsiye ederim.
Temel işlemlerden en yeni ve karmaşık işlemlere kadar her şeyi harika fiyatlarla sunuyorlar.
İngiltere'den geldik ve maliyet tasarrufu oldukça önemli.
Bu kliniği şiddetle tavsiye ediyorum ve İstanbul'u tekrar ziyaret edersem kesinlikle geri döneceğim.
İşini severek yapan insanlarla karşılaşmak gerçekten büyük bir şans. Tedavi sürecimde gömülü dişimi diğer dişlere zarar vermeden, ona yer açarak sağlıklı bir şekilde çıkmasını sağladı. Bu benim için gerçekten inanılmaz bir deneyimdi.
Titiz ve özenli çalışmaları çok etkileyiciydi. Alanında uzman bir doktor olduğunu gönül rahatlığıyla söyleyebilirim ve herkese tavsiye ederim.
Başta Fatih Bey olmak üzere tüm ekibine emekleri ve ilgileri için çok teşekkür ediyorum.
Airflow işlemimi Merve Hanım ve Sıla Hanım gerçekleştirdi. İkisi de işlemi son derece profesyonel, sabırlı ve titiz bir şekilde yürüttü. Tüm süreç boyunca beni bilgilendirdiler, yönlendirdiler; işlem öncesinde ve sonrasında konforuma gösterdikleri özen beni ayrıca memnun etti.
İmplant işlemimi ise Ayşenur Hanım yaptı. Daha önce hiç diş çektirmemiştim, doğrusu içimde gizli bir endişe vardı. Ama yaşadıklarım beklentilerimin çok ötesine geçti. İşlem sırasında "dişim çekildi mi?" diye sorduğumda implantımın çoktan takılmış olduğunu öğrendim! Üstelik sonrasında en ufak bir ağrı ya da sızı bile hissetmedim. Röntgen filminde de implantın gayet başarılı bir şekilde yerleştirildiği görülüyordu. Ayşenur Hanım gerçekten eli çok çabuk ve hafif bir uzman; birlikte harika bir süreç tamamladık.
Klinikte çalışan herkes işini severek yapıyor, son derece sıcak ve güler yüzlü insanlar.
Ama mutlaka bahsetmem gereken biri var: Muazzez Hanım. Ailecek düzenli gittiğimiz bu klinikte iki çocuğumla birlikte pek çok ziyaret gerçekleştirdik. 2,5 yaşındaki büyük oğlum kliniğe girdiği anda Muazzez Teyze'sine koşup sarılıyor; bu tablo bile her şeyi anlatıyor aslında. Emeği ve hakkı gerçekten çok büyük.
Dentmax Kliniği'nin tüm ekibine bu kadar özverili, profesyonel ve içten oldukları için çok teşekkür ediyorum. Gönülden tavsiye ederim. 🙏⭐⭐⭐⭐⭐
Özellikle 2 sene boyunca her daim güler yüzlü ve her konuda yardımcı olan Gülnur Hanım ve diğer isimlerini hatırlayamadığım çalışanlara teşekkür ederim.
Ve tabi ki memnuniyet temelli yaklaşan tedavimi planlayan Fatih Bey’e ve E max laminelerimi titizlikle yapan Ayşenur Hanım’a teşekkür ederim.
Sonuca baktığımda “iyi ki” diyebiliyorum.Tüm herkesin emeklerine sağlık.
Ayrıca hijyen konusunda da çok iyiler.
Daha nolsun. Gönül rahatlığıyla tavsiye ediyorum.
Dişlerimle ilgili bugüne kadar pek çok operasyon geçirmiş biri olarak anestezi sürecine oldukça aşinayım. Genelde operasyon öncesi iğnenin acısını hafifletmek için sprey sıkılır, ardından iğne ile uyuşturma yapılır. Ancak bu klinikte Diş Hekimi İrem’in uyguladığı yöntem beni çok etkiledi. Spreyi doğrudan sıkmak yerine pamuğa sıkarak iğnenin yapılacağı bölgede bir süre bekletiyor ve diş etinin nazikçe uyuşmasını sağlıyor. Ardından iğneyi küçük ve kontrollü dokunuşlarla uygulayarak neredeyse hiç acı hissetmeden uyuşmayı tamamlıyor. Gerçekten iğne acısını hissetmedim diyebilirim.
Bu hassasiyet ve incelik, mesleki özenin yanı sıra güçlü bir empati duygusunu da gösteriyor. Kendimi hem güvende hem de değerli hissettim. Diş tedavisinden çekinen, özellikle iğne korkusu olan herkese gönül rahatlığıyla tavsiye ederim. Hem profesyonel hem de insani yaklaşımıyla çok başarılı bir klinik.
Kesinlikle tavsiye ediyorum.
Dişlerimin düzgünleşmesinin yanı sıra gülüşüm de belirgin şekilde genişledi ( çene genişletme süreci sayesinde 😊) ve bu durum özgüvenimi ciddi anlamda artırdı. Artık çok daha rahat gülümsüyor ve kendimi çok daha iyi hissediyorum.
Bu süreçte emeği geçen Fatih Kahraman hocama ve tüm ekibine gönülden teşekkür ederim. Invisalign düşünen herkese gönül rahatlığıyla tavsiye ederim.
İşlerini profesyonel yapan bu ekibe teşekkürlerimi iletiyorum
Fatih Bey, Ayşenur hanım ve klinikteki tüm ekip her zaman güler yüzlü, ilgili ve çözüm odaklıydı. Randevu düzeni, hijyen, kullanılan ekipmanlar ve genel klinik ortamı gerçekten çok özenliydi. Tedavi sürecinde hem estetik hem de fonksiyonel olarak beklentilerim fazlasıyla karşılandı. Uzun süren bir tedavi olmasına rağmen hiçbir aşamada tedirginlik yaşamadım.
Diş tedavisi düşünen, özellikle ortodonti, implant ya da lamine gibi kapsamlı işlemler yaptırmak isteyen herkese gönül rahatlığıyla tavsiye ederim. Ayşenur Hoca’ya, Fatih Bey’e ve emek veren tüm ekibe profesyonellikleri ve samimi yaklaşımları için çok teşekkür ederim
Ortodonti sürecimi titizlik ve özveriyle yürüten Fatih Bey, her aşamada bilgilendirici ve güven vericiydi. Gülüş tasarımı sürecimi yürütecek olan Ayşenur Hanım ise yaklaşımı ve detaylara verdiği önemle şimdiden güven verdi.
Her hastaya, “Bu işlem bana yapılsaydı nasıl isterdim?” hassasiyetiyle yaklaşıp, işi kendilerine yapıyormuş gibi özenle çalışmaları ayrıca çok kıymetliydi. Hem hekimlikleri hem de insani yaklaşımlarıyla işlerinin ehli olduklarını fazlasıyla hissettirdiler. Diş tedavisi konusunda güvenilir bir klinik arayan herkese gönül rahatlığıyla tavsiye ederim.
20’lik diş çekiminden bir hafta sonra dolgu tedavisi için tekrar gittiğimde, kliniğe çok daha özgüvenli bir şekilde gidebildim :) Ne çekim sonrasında ne de dolgu sonrasında hiçbir sorun yaşamadım. Kesinlikle gönül rahatlığıyla DenMax’ı tercih edebilirsiniz. :)
Hijyen, düzen, zaman yönetimi ve hasta iletişimi açısından örnek gösterilecek bir kurum. Sadece diş tedavisi değil, aynı zamanda güven, saygı ve insan odaklılık da sunuyorlar.
Emeği geçen ekibe teşekkür ederim. Gözünüz kapalı güvenebileceğiniz bir adres.
Sanırım hayatım boyunca diş sağlığımı emanet ededeğim yeri sonunda buldum.
Dr. Burcu Orhan ve asistanını gönülden ve tereddütsüz tavsiye ediyorum!
Daha sonra DentMax'te implant yaptırdım. Diş hekimi işlemi hızlı, güvenli ve büyük bir uzmanlıkla gerçekleştirdi, bu yüzden kendimi mükemmel ellerde hissettim.
Genel olarak, DentMax'i şiddetle tavsiye ediyorum ve Mart ayında kron takılması ve dişlerimin beyazlatılması için tekrar geleceğim.
Harika bakım için çok teşekkür ederim!
Özellikle Fatih bey işinin ehli
Profesyonel hizmet ve güleryüz.
Konusunda başarılı arkadaşlar
Dolgu diştaşı temizliği ve diğer herşeyim için artık hep burdayım.
Teşekkürler.
Sizleri Amerikadaki Şuhedanur Hanım’ın tavsiyesiyle tanıdım. İki implantım ve bir tane 20’lik dişim çekildi. Eşim ve iki oğlumun da şeffaf plak tedavileri burada yapıldı.
Dr. Fatih Bey, Dr. Ayşenur Hanım ve tüm asistanlardan çok memnunuz. Her biri güler yüzlü, samimi ve işini severek yapıyor. Tedavilerde güven hissediyorsunuz, ticari değil, tamamen hasta odaklı bir yaklaşımları var.
Klinik tertemiz, hijyene çok önem veriliyor ve o güzel akvaryumları ortama ayrı bir huzur katıyor 🐠💙
Klinğinizi gönül rahatlığıyla herkese tavsiye ederim 🌸
Hem profesyonel hem de çok nazik bir ekip. Dişçi korkumu burada tamamen yendim. Teşekkür ederim 🙏
Dentmax ailesiyle yaşamış olduğum diş problemi neticisinde tanıştım. 20’lik dişlerimin çıkması diş yapımın bozulmasına neden olmuştu. Dentmax aileysile birlikte ortodonti tedavi sürecim başladı.Fatih hocamız tedavi sürecim hakkında bilgilendirmesi ve bana en uygun tedavi yöntemini anlatması ve bilgilendirmesi beni çok mutlu etti.
Başlamış olduğumuz şeffaf plak tedavimde ilk haftalardan itibaren değişimi fark ederek ilerledim.
Bu süreçte plaklarımı aksatmadan kullandım.
Fatih hocamın tedavi hakkında uyarılarınca ilerledim.
Bu süreçte tüm Dentmax ekibi bizlere destek oldu.
Fatih Hocam başta olmak üzere tüm Dentmax ailesine teşekkür ediyorum.
Kesinlikle şeffaf plak tedavisini ve Dentmax ailesini tavsiye ediyor ve öneriyorum. 🌸
Herkese musmutlu gülüşler ☺️🥰
Bundan 2sene önce dış teli takdirmaya karar vermiştim
Alt cenemdede biraz sorun vardı
Sonra Fatih hocayı buldum.
İçimde korku vardı nasıl takdiracagim nasıl olur dişlerim nasıl olur çenem diye,sonra Fatih hocam kendisi yardımcı oldu.
Şuanda gayet iyi gidiyor herşey yolunda
Cenemde baya baya düzeldi dişlerimde tam istediğim gibi oluyor
iyki siz Fatih hocam sonsuz teşekkürlerimi bırakıyorum size 🙏🙏
Allah hep yolunuzu açık etsin inşallah 🙏🙏🙏
İletişim konusunda her şey çok netti, tüm randevularım düzenliydi ve asla aksama yaşanmadı. Klinik genel anlamda oldukça hijyenikti, içeri adım attığınız andan itibaren temizliği ve profesyonelliği hissediyorsunuz.
DentMax İstanbul’u ve özellikle İrem Hanım ile Sude Hanım’ı gönül rahatlığıyla herkese tavsiye ederim. Şimdiden daha özgüvenli bir şekilde gülümsememe vesile oldular, kendilerine teşekkür ediyorum. 🙏😊
Güler yüzlü personelleri, son teknoloji cihazlar kullanmaları ve hijyene her daim büyük önem vermeleri, içimi rahatlatan en önemli etkenlerden biri oldu. Tedavi sürecim boyunca doktor Beyza Hanım, her aşamada karşılaşılabilecek tüm olasılıkları detaylı bir şekilde anlatarak, aklımda hiçbir soru işareti kalmaması ve her adımda içimin rahat etmesi için büyük bir özen gösterdi. İşlem sonrası ağrı olma ihtimaline karşı, ertesi gün arayarak durumumu sormaları ise ne kadar düşünceli ve ilgili olduklarının güzel bir göstergesiydi.
Tüm tedavi sürecimi büyük bir titizlikle, profesyonelce yürüten ve her aşamada son derece düşünceli yaklaşımıyla içimi rahatlatan doktor Beyza Hanım’a gönülden teşekkür ederim. Ayrıca süreç boyunca nazik ve yardımsever tutumuyla her zaman destek olan asistan Sude Hanım’a da içtenlikle teşekkür ederim. Yapılan her işlemde özenli ve en iyi sonuca odaklanan bir anlayışla hareket edilmesi, kendimi emin ellerde hissetmemi sağladı.
Tedavi sürecim hala devam ediyor ancak şu ana kadar olan ilerlemeden son derece memnunum. DentMax’i gönül rahatlığıyla herkese tavsiye ederim.
Klinikte kullanılan ileri teknoloji cihazlar ve hijyen konusundaki hassasiyetleri hastalara ekstra bir güven veriyor. Ayrıca ekip içinde güçlü bir iletişim olması, her tedavi adımının dikkatle takip edilmesini sağlıyor. Bekleme süresince sunulan çay ve kahve ikramları da kliniğin hasta memnuniyetine verdiği önemin bir göstergesi.
Özetle, DentMax ekibine ve özellikle ilgisini hiçbir zaman eksik etmeyen Beyza Hanım'a teşekkür ederim. Diş tedavisi konusunda güvenilir bir yer arayan herkesin gönül rahatlığıyla tercih edebileceği bir klinik!
Tavsiye üzerine yeni yılın ilk günü randevu aldıgımız için, oldukça rahat ve konforlu bir gün oldu.
Teknolojiyi diş sağlığına her anlamda entegre etmiş bir klinik olarak emin ellerde olduğunuzdan emin oluyorsunuz.
Diş temizligi ve kontrollerime önem veren bir insan olarak, daha önce aldığım hizmetlerle karşılaştırdığımda DentMax gerçekten hekimleri ve ekibiyle fark yaratıyor.
Benim ve çocuklarımın ; kontrol, diş temizliği yapıldı. Gerekli olan ne varsa, en iyi şekilde uygulandı.
Dişlerimi bu kadar temiz, beyaz ve parlak ilk defa gördüm diyebilirim.
İrem Burcu Orhan Hoca'ya, aslstanlar Gülnür Hanım'a, Sude Hanım'a titizlikleri, güleyüzleri ve çocuklarım için gösterdikleri sabır için de ayrıca teşekkür ederim.
Hijyen konusunda da her türlü tedbir ve tedarik mevcut.
Güvenilir ve işinde bilgili bir yer arayan herkese tavsiye ederim.
Ancak İrem Hanım'ın el hafifliği, sakinliği ve profesyonelliği sayesinde tüm korkularımı bir kenara bırakabildim. Panik olmama rağmen ekip durumu harika yönetti ve benimle çok güzel ilgilendi. Dentmax ekibinin 3 boyutlu cihazlarla çalıştığını ve çürük derinliğini hassas bir şekilde tespit ettiğini gördüm. Özellikle kanal tedavisine gerek kalmadan farklı bir yöntemle dişimi kurtarmaya çalışmaları beni çok mutlu etti.
Şu an dişim çok iyi durumda, tedavimin 2 seansını tamamladık ve son derece memnunum. Kalan diş dolgularım da tabii ki İrem Hanım'a emanet. Dentmax ekibine ve özellikle İrem Hanım'a teşekkür ederim. Profesyonellik ve güven arayan herkese tavsiye ederim!
Önceki incelememe ek olarak, aynı zamanda diş hekimliği uzmanlarından oluşan bu muhteşem ekibin değerli bir üyesi olan Dr. Beyza tarafından da tedavi edildim.
Zorlu bir tedavim olduğunu söyleyen ve tedavi etmeye yanaşmayan doktorlardan sonra İnternet üzerinden araştırma yaparken denk geldim Fatih hocama.
İlk görüştüğümüz de hem çalışanların hem Fatih hocamın enerjisinin verdiği olumlu enerji ile şüphe bile duymadan bir süre sonra tedaviye başladık.
Uzun bir süreç ancak fatih hocam ve ekibi ile bu süreci yönlendiriyor olmaktan çok memnunum.
Ayrıca 4 yirmilik dişimi çeken ve hangi ara çektiğini bile anlayamayıp her seferinde bitti mi diye sorduğum güzel gözlü, güzel yürekli Ayşenur hocama da çok teşekkür ediyorum.
İşini hakkıyla ve titizlikle yapan insanlara ihtiyacımız var ve bu klinikte doğru adres...:)













